聚谱镜界
纵染全局
HD-550
全高清电子内镜系统
HD-550
全高清电子内镜系统





广告

Spectral Focused lmaging, SFI
图像具有高亮度、高黏膜血管颜色对比度的特点,且不改变粘液、食物残渣、粪便的基本颜色,可在中远景下进行观察,助力消化道早期疾病的诊断。
照明光谱
光谱提取
光谱提取能量汇聚
RGB图像重建
染色模式显示
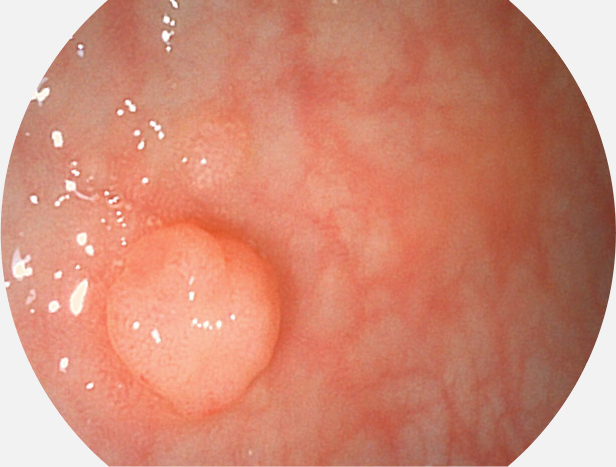
白光图像
SFI图像
白光图像
SFI图像
白光图像
SFI图像

Versatile Intelligent Staining Technology, VIST
强调浅层黏膜结构的同时,保证照明亮度和提升浅层微血管与中层血管颜色对比度,病变边界更清晰。
血管对比度分布光谱曲线
VIST光谱
白光图像
VIST图像
白光图像
VIST图像
白光图像
VIST图像

采用无损耗高清数字接口,视频输出分辨率≥1920×1080,图像清晰、细腻。
采用光路合束技术,光谱自由度高,实现了更丰富的照明模式,染色模式SFI及VIST,从远景到近景,助力消化道早期疾病诊断。
大于20,000小时的长使用寿命。

全密封设计允许550系列镜体可以直接浸泡洗消,不需要使用防水帽,避免了误操作导致内镜进水损坏的风险。
550系列的消化内镜,全新设计的一键式内窥镜连接器,简化了内镜检查前后的设备连接及拆卸工作。
全新设计的更加符合人体工程学的操作部手柄,出色的握持手感让医生的临床操作更加得心应手,同时减轻了长时间操作内镜造成的疲劳不适感。
送水方向与手术器械方向,两者更贴合,能快速冲洗黏膜表面的粘液及出血,发现病变和出血点。
能实时存储高清图片及手术视频到主机系统,同时能脱离外置工作站进行诊断报告的编辑。

USB数据传输

内置存储空间

图片/视频存储
禁忌内容或者注意事项详见说明书

微信公众号
0188-22223333
400-800-8820
版权所有 @诸侯快讯官网 苏ICP备20008866
互联网电子信息服务资格证书[(苏)-非经营性-2002-0888